孩子如果有这样的牙齿,可能是存在乳糜泻 | 牙釉质缺陷与乳糜泻
乳糜泻是由进食麸质(小麦、大麦和黑麦中存在了一类蛋白质)诱发的一种自身免疫病。
患者在摄入含麸质的食物(如面包、面条、馒头、饼干)后,身体会产生自身免疫反应,引起肠道炎症,并最终造成小肠绒毛的萎缩。
腹泻、腹痛和腹胀是乳糜泻的经典症状,存在这些症状的患者相对容易被发现。
然而,许多患者完全不存在肠道的症状,这就使得他们更难被确诊。
乳糜泻的许多肠外症状,比如贫血、慢性疲劳、骨密度异常、焦虑和抑郁、生长发育不良,都没有什么特异性——被延迟诊断似乎是“在所难免”。
不过,在乳糜泻的孩子身上,有一种非常典型的症状,那就是牙釉质缺陷。
牙釉质是牙齿外层的一道坚硬的保护层。
而所谓牙釉质缺陷,就是说这层保护层存在缺损——这就会使得内部的牙质暴露在外,更容易受到损伤。
在乳糜泻孩子中,有38%~83%的患儿存在牙釉质缺陷,而在普通孩子中,这个比例只有6~27%。
按照严重程度,牙釉质缺陷可分为不同的等级——1级为最轻微,4级为最严重。
依照Aine分类标准,牙釉质缺陷分为4级。
第1级,牙釉质存在颜色上的缺陷。在牙齿上,可能存在单个或多个的奶油色、黄色或棕色的浊斑(边界清晰或模糊)。部分牙釉质可能缺乏透明度。
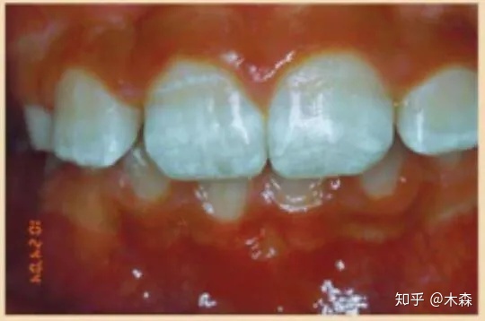
第2级,牙釉质存在轻微的结构缺陷。牙齿表面粗糙,且带有水平的凹槽和麻点,牙釉质的颜色和透明度都存在改变。
第3级,牙釉质存在明显的结构缺陷。牙釉质表面的部分或全部都变得粗糙,且存在不同宽度的水平深槽,或存在较大的垂直的麻点。可能伴随有较大的不同颜色或明显变色的浊斑。
第4级,牙釉质存在严重的结构缺陷。牙齿的形状发生改变。牙齿的顶部变得尖锐并且(或者)边缘变得不均匀的薄和粗糙。变薄的牙釉质能够很容易地被看到,并且可能受到了严重的损伤。
在乳糜泻患者中,牙釉质1级缺陷和2级缺陷是最为常见的。乳糜泻患者的1级缺陷要高于其他儿童;而存在2级以上缺陷的,大多数都是乳糜泻患者。
当然,牙釉质缺陷在许多疾病中都会出现,但乳糜泻患者存在的牙釉质缺陷是非常特别的。
乳糜泻孩子的牙釉质缺陷是对称的——在牙列的四个部分(门牙、犬齿、小臼齿、臼齿)中都会呈现出对称的特性。也就是说,如果孩子的左上门牙存在缺陷,右上门牙一般也会有缺陷。
在下面的图中,你可以看到在乳糜泻患者中存在的不同程度的牙釉质缺陷:
(温馨提示:下方图片可能引起不适)

图:牙釉质1级缺陷,主要存在颜色上的改变 - Source:DOI: 10.4317/medoral.22506

图:牙釉质2级缺陷,表面粗糙,且存在轻微的水平凹槽 - Source:http://rdhmag.com/patient-care/pediatrics/article/16404254/clinical-suspicion-of-celiac-disease

图:牙釉质3级缺陷,存在明显的水平凹槽 - Source:https://jcda.ca/article/b39
在这些患者中,受影响最严重的通常是门牙。其次是臼齿(下图蓝色)、小臼齿(下图淡紫色)和犬齿(下图浅红色)。

图:牙列结构,左侧为乳牙列,右侧为恒牙列 - Source: http://teachmeanatomy.info/head/other/child-adult-dentition/
那么,为什么乳糜泻患者会出现这样的牙齿缺陷?
目前认为有两种可能性。
一是和免疫系统有关。牙釉质在形成过程中会受到许多免疫因素的调节,而一些因素可能会阻碍牙釉质的正常发育。
研究发现,乳糜泻患者的血清中会存在一种叫HLA-DR3的抗原,这种抗原的浓度越高,患者就越容易出现牙釉质的缺陷。
而另一种可能的因素是营养吸收不良。乳糜泻患者存在有小肠绒毛的萎缩,这使得他们对许多营养素和矿物质的吸收都会存在问题。而营养的缺乏,可能就会使得牙釉质出现问题。
具体的成因还有待发现。但不管怎样,知道了这一表现,我们能够更及时地发现潜在的乳糜泻的患者。而及时的诊断和无麸质饮食的干预,能够抑制他们的牙釉质恶化,并防止其他严重并发症的发生。
木森说
乳糜泻症状多样,但许多症状的表现却不典型。
而对称形态的牙釉质缺陷,是这种疾病少有的特征表现之一。
在西方国家,许多乳糜泻患者确实是被牙医率先诊断出来的。
而我所知的一些在国内确诊的乳糜泻孩子,也是被有经验的儿科医生检查牙齿所发现的。
特定的口腔问题,可能暗示着特定的疾病。
及早的发现,意味着需要把更多的迹象考虑在内。
但能够考虑在内的前提是,我们需要有更完整的认识。
参考文献:
Delay in Diagnosis of Celiac Disease in Patients Without Gastrointestinal Complaints - https://www.amjmed.com/article/S0002-9343(17)30606-X/fulltext
The difference in symmetry of the enamel defects in celiac disease versus non-celiac pediatric population - https://www.sciencedirect.com/science/article/pii/S1991790220300441
Oral Manifestations of Celiac Disease: A Clinical Guide for Dentists - https://jcda.ca/article/b39
免责声明:
本账号发表的内容仅是用于信息的分享,仅供学习参考使用。文章内容不能直接作为任何健康干预的依据。在采取任何预防、治疗或治愈的措施之前,请先与你的医疗提供者进行沟通。